05/03/2026
La salud dental es un pilar fundamental de nuestro bienestar general, y mantener una sonrisa sana a menudo implica tratamientos como los empastes dentales. Cuando una caries ataca o un diente sufre un daño, un empaste no solo restaura la funcionalidad, sino que también protege la estructura dental restante. Sin embargo, una de las preguntas más recurrentes para quienes consideran este tipo de procedimiento es: ¿cuánto cuesta un empaste dental, especialmente una resina dental, en Estados Unidos? La respuesta no es sencilla, ya que el precio puede variar significativamente en función de múltiples factores, desde el tipo de material utilizado hasta la complejidad del caso y la ubicación geográfica de la clínica.

En este artículo, desglosaremos los costos asociados a los diferentes tipos de empastes dentales disponibles en el mercado estadounidense, poniendo un énfasis especial en los empastes de resina, también conocidos como empastes compuestos. Además, exploraremos los factores que influyen en su precio y durabilidad, y responderemos a las preguntas más frecuentes para que pueda tomar una decisión informada y cuidar su salud bucal de la mejor manera posible.
- El Costo de los Empastes Dentales en Estados Unidos: Una Visión General
- Profundizando en la Resina Dental: Un Enfoque Detallado
- Durabilidad y Vida Útil de las Reconstrucciones Dentales
- Preguntas Frecuentes sobre la Resina Dental y su Costo
- ¿Cuánto cuesta exactamente una resina dental en Estados Unidos?
- ¿La resina dental es lo mismo que un empaste compuesto?
- ¿Qué tan duradera es una resina dental comparada con otros empastes?
- ¿Mi seguro dental cubre los empastes de resina?
- ¿Es doloroso el procedimiento de una resina dental?
- ¿Qué alternativas existen a la resina dental?
- ¿Cómo puedo saber si necesito una resina dental?
- ¿Qué cuidados debo tener después de un empaste de resina?
El Costo de los Empastes Dentales en Estados Unidos: Una Visión General
El precio de un empaste dental en Estados Unidos está intrínsecamente ligado al material que elija su dentista. Cada material posee características únicas en cuanto a durabilidad, estética y, por supuesto, costo. Comprender estas diferencias es crucial para evaluar sus opciones y elegir la que mejor se adapte a sus necesidades y presupuesto.
Tipos Comunes de Materiales de Empaste y sus Rangos de Costo
La elección del material es uno de los determinantes más importantes del precio final de un empaste. A continuación, detallamos los tipos más comunes y sus rangos de costo estimados:
Empastes de Metal (Amalgama de Plata)
Los empastes de amalgama de metal son una mezcla de metales como plata, estaño y cobre. Han sido utilizados durante décadas debido a su gran durabilidad y resistencia al desgaste. Son una opción robusta para las muelas posteriores, donde la fuerza de la masticación es mayor. Sin embargo, su color plateado oscuro los hace muy notorios, lo que puede ser una desventaja estética, especialmente en dientes visibles.
- Costo estimado:
- Para 1-2 dientes: $50 a $200
- Para 3 o más dientes: $150 a $400
A pesar de su durabilidad y bajo costo, existe un debate sobre la seguridad del mercurio en la amalgama, aunque las principales organizaciones de salud dental afirman que son seguros para la mayoría de las personas.
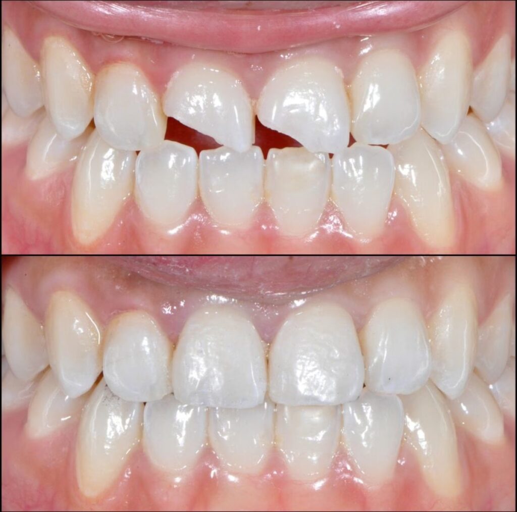
Empastes Compuestos (Resina Dental)
Los empastes compuestos, o de resina dental, son la opción preferida por muchos pacientes debido a su capacidad para mimetizarse con el color natural del esmalte dental. Están hechos de una resina plástica y partículas de vidrio, lo que los hace estéticamente superiores a los empastes de amalgama. Son ideales para restauraciones en dientes frontales o en áreas donde la apariencia es una preocupación primordial. Aunque son menos duraderos que los de amalgama o los de oro, los avances en los materiales compuestos han mejorado significativamente su resistencia y vida útil.
- Costo estimado:
- Para 1-2 dientes: $150 a $300
- Para 3 o más dientes: $200 a $550
Su precio más elevado se justifica por la mejora estética y por un procedimiento que a menudo requiere más tiempo y técnica por parte del dentista para lograr un resultado óptimo.
Empastes de Oro
Los empastes de oro son conocidos por su excepcional durabilidad, pudiendo durar varias décadas sin necesidad de reemplazo. Son altamente resistentes a la corrosión y al desgaste. Sin embargo, su color dorado los hace muy visibles, y su costo es considerablemente más alto que otras opciones. Además, la mayoría de los dentistas hoy en día rara vez utilizan este metal como material de empaste, lo que los convierte en una opción poco común.
- Costo estimado:
- Para 1-2 dientes: $300 a $1,000
- Para 3 o más dientes: $450 a $1,800
Empastes de Porcelana (Incrustaciones u Onlays)
Los empastes de porcelana, a menudo denominados incrustaciones (inlays) o recubrimientos (onlays), son la opción más costosa, pero también ofrecen una estética superior y una gran durabilidad. Se fabrican a medida en un laboratorio dental a partir de una impresión del diente y luego se cementan en su lugar. Son muy resistentes a las manchas y pueden durar tanto como los empastes de oro, o incluso más. El procedimiento suele requerir al menos dos visitas al dentista.

- Costo estimado:
- Por cada procedimiento: $300 a $4,500
Su alto costo se debe a la complejidad del proceso de fabricación y colocación, así como a la calidad del material.
Tabla Comparativa de Empastes Dentales
| Tipo de Empaste | Material | Costo Estimado (1-2 dientes) | Ventajas | Desventajas | Durabilidad Estimada |
|---|---|---|---|---|---|
| Amalgama | Plata, Estaño, Cobre | $50 - $200 | Muy duradero, económico | Color notorio, potencial de expansión | 10-15 años |
| Compuesto (Resina) | Resina plástica, Vidrio | $150 - $300 | Estético (color del diente), adhiere al diente | Menos duradero que metal/oro, puede mancharse | 5-7 años |
| Oro | Oro | $300 - $1,000 | Extremadamente duradero, resistente a la corrosión | Muy costoso, color notorio, poco común | 15-30 años o más |
| Porcelana (Incrustación) | Cerámica | $300 - $4,500 | Muy estético, duradero, resistente a manchas | Más costoso, requiere más visitas | 10-15 años o más |
Profundizando en la Resina Dental: Un Enfoque Detallado
Dada la popularidad de los empastes de resina por su equilibrio entre estética y funcionalidad, es importante entender más a fondo qué implican y qué factores pueden influir en su costo y rendimiento.
¿Qué es Exactamente una Resina Dental?
Una resina dental es un material de obturación compuesto, diseñado para reparar dientes afectados por caries, fracturas o desgaste. A diferencia de los empastes de amalgama que simplemente rellenan un espacio, la resina se adhiere químicamente a la estructura dental, lo que a menudo permite una preparación menos invasiva del diente. Este material es una mezcla de partículas de resina acrílica y un relleno inorgánico, como cuarzo o sílice, que se polimeriza (endurece) con una luz especial de alta intensidad. Su principal ventaja es su capacidad para ser teñida y pulida para que coincida perfectamente con el color natural de los dientes circundantes, haciéndola prácticamente invisible.
Factores que Influyen en el Costo de una Resina Dental en Estados Unidos
Más allá del material, varios elementos pueden hacer que el precio de un empaste de resina varíe:
- La Complejidad del Procedimiento: No todas las caries son iguales. Un empaste en la superficie de masticación de un diente posterior (una superficie oclusal) suele ser más sencillo y, por ende, menos costoso. Sin embargo, las caries que se extienden entre los dientes (interdentales) o que son muy grandes y profundas requieren más tiempo, habilidad y material, lo que incrementa el precio. Si la caries está muy cerca del nervio, podría requerir un recubrimiento pulpar o incluso una endodoncia previa, lo que añadiría costos adicionales.
- El Tamaño y la Ubicación de la Caries: Una cavidad pequeña y superficial será más económica de tratar que una grande y profunda que afecte múltiples superficies del diente. Los dientes frontales, aunque a menudo más visibles, pueden ser más delicados de tratar estéticamente, lo que puede influir en el tiempo y la habilidad requeridos.
- La Habilidad y Experiencia del Dentista: Un profesional con una vasta experiencia y una reputación consolidada, especialmente en odontología estética, puede cobrar tarifas más altas. La precisión en la eliminación de la caries y la capacidad de lograr un empaste que no solo sea funcional sino también estéticamente agradable, exige un nivel elevado de destreza y tiempo dedicado.
- Ubicación Geográfica de la Clínica: Los costos de vida y operación varían drásticamente en Estados Unidos. Una clínica en una gran ciudad como Nueva York o Los Ángeles probablemente tendrá precios más altos que una en una zona rural o en un estado con menor costo de vida.
- Tecnología y Equipamiento de la Clínica: Las clínicas que invierten en tecnología de punta (como láseres para detección de caries, radiografías digitales de baja radiación o sistemas CAD/CAM para restauraciones en una sola cita) pueden repercutir parte de estos costos en sus tarifas.
- Cobertura del Seguro Dental: Este es un factor crucial. Muchas pólizas de seguro dental cubren una parte significativa del costo de los empastes de resina, especialmente si son médicamente necesarios. Es vital verificar con su proveedor de seguros cuánto cubre su plan para empastes compuestos.
Durabilidad y Vida Útil de las Reconstrucciones Dentales
La durabilidad de un empaste de resina es una preocupación común, y es importante entender que no son permanentes. La vida útil de una reconstrucción dental, ya sea un empaste, una corona o una incrustación, depende de múltiples factores.
¿Cuánto Dura una Reconstrucción con Resina Dental?
En general, los empastes de resina compuesta tienen una duración promedio de 5 a 7 años. Sin embargo, con los cuidados adecuados y si el empaste no está sujeto a fuerzas excesivas, pueden durar hasta 10 años o incluso más.
Factores que Influyen en la Durabilidad de una Reconstrucción Dental
La longevidad de su empaste de resina no solo depende del material, sino también de su propio compromiso con el cuidado dental:
- Materiales Utilizados: Aunque la resina es el material base, existen diferentes calidades de resinas compuestas. Las resinas de alta calidad, diseñadas para resistir mejor el desgaste y las manchas, suelen ofrecer una mayor durabilidad.
- Ubicación del Empaste: Los empastes en muelas posteriores, que soportan mayor presión al masticar, pueden desgastarse más rápido que los empastes en dientes frontales.
- Hábitos de Masticación: Masticar hielo, morder objetos duros (bolígrafos, uñas) o rechinar los dientes (bruxismo) puede ejercer una presión excesiva sobre el empaste y acortar su vida útil.
- Higiene Bucal: Una excelente higiene bucal diaria es fundamental. Cepillarse los dientes al menos dos veces al día y usar hilo dental previene la acumulación de placa y la formación de nuevas caries alrededor del empaste.
- Dieta: El consumo excesivo de alimentos y bebidas azucaradas o ácidas puede contribuir a la erosión del esmalte y, por ende, afectar la integridad del empaste.
- Revisiones Dentales Regulares: Las visitas periódicas al dentista (al menos dos veces al año) permiten al profesional monitorear el estado de las reconstrucciones, detectar cualquier signo de desgaste o daño a tiempo y realizar ajustes o reparaciones menores antes de que se conviertan en problemas mayores.
¿Cómo Prolongar la Duración de tu Reconstrucción Dental?
Para maximizar la vida útil de su empaste de resina y asegurar que su inversión en salud bucal rinda frutos, siga estos consejos clave:
- Mantén una buena higiene bucal diaria: Cepilla tus dientes al menos dos veces al día con una pasta dental con flúor y utiliza hilo dental o cepillos interdentales para limpiar los espacios entre los dientes. Considera el uso de un enjuague bucal con flúor para fortalecer el esmalte.
- Evita alimentos duros o pegajosos: Alimentos como caramelos duros, frutos secos muy duros, hielo o turrón pueden causar fracturas o dañar las reconstrucciones. Evitarlos reducirá el riesgo de daños.
- Controla el bruxismo (rechinar de dientes): Si rechinan los dientes, especialmente por la noche, consulte a su dentista. Puede recomendarle una guarda o férula oclusal para proteger sus empastes y dientes naturales.
- Realiza revisiones periódicas con tu dentista: Es fundamental acudir al dentista de manera regular para que evalúe el estado de las reconstrucciones y realice ajustes o reparaciones si es necesario. La detección temprana de problemas puede evitar tratamientos más complejos y costosos.
- Evita el consumo excesivo de alimentos y bebidas que manchan: La resina dental puede mancharse con el tiempo, especialmente con el consumo frecuente de café, té, vino tinto o tabaco. Moderar su consumo o enjuagarse la boca después de consumirlos puede ayudar a mantener la estética de su empaste.
¿Cuándo es Necesario Reemplazar una Reconstrucción Dental?
Con el tiempo, incluso los empastes más duraderos pueden desgastarse o dañarse. Los signos más comunes de que una reconstrucción dental (incluida la resina) debe ser evaluada o reemplazada incluyen:
- Desgaste o fracturas visibles: Pequeñas grietas o una superficie rugosa pueden indicar que el empaste está deteriorado.
- Molestias al masticar o sensibilidad: Si siente dolor o sensibilidad al morder o al consumir alimentos fríos/calientes, podría ser un signo de que el empaste ya no sella bien el diente.
- Filtraciones marginales: Las bacterias pueden infiltrarse por los bordes del empaste si este ya no está perfectamente sellado, causando nuevas caries debajo de la restauración.
- Cambio de color: Si el empaste de resina ha cambiado de color significativamente y ya no coincide con el diente, puede ser una indicación de que necesita ser reemplazado por razones estéticas o de integridad.
- Pérdida del empaste: En algunos casos, un empaste puede simplemente desprenderse del diente.
Si experimenta alguno de estos síntomas, es crucial que visite a su dentista lo antes posible para una evaluación. Ignorar estos signos puede llevar a problemas más graves y tratamientos más invasivos en el futuro.
Preguntas Frecuentes sobre la Resina Dental y su Costo
A continuación, respondemos a algunas de las preguntas más comunes que los pacientes tienen sobre los empastes de resina y su costo.
¿Cuánto cuesta exactamente una resina dental en Estados Unidos?
El costo de una resina dental (empaste compuesto) en Estados Unidos generalmente oscila entre $150 y $300 para un diente, y entre $200 y $550 para 3 o más dientes. Sin embargo, estos son rangos estimados y el precio final dependerá de factores como la complejidad del caso, la ubicación de la clínica, la experiencia del dentista y su cobertura de seguro dental.

¿La resina dental es lo mismo que un empaste compuesto?
Sí, los términos "resina dental" y "empaste compuesto" se utilizan indistintamente para referirse al mismo tipo de material de obturación dental. Ambos describen un material hecho de resina acrílica y partículas de vidrio que se endurece con luz y se mimetiza con el color natural del diente.
¿Qué tan duradera es una resina dental comparada con otros empastes?
Los empastes de resina son duraderos, pero generalmente menos que los de amalgama o los de oro. En promedio, una resina dental puede durar entre 5 y 7 años, mientras que los de amalgama pueden durar 10-15 años y los de oro o porcelana pueden superar los 15 años. La durabilidad de la resina puede prolongarse con una excelente higiene bucal y visitas regulares al dentista.
¿Mi seguro dental cubre los empastes de resina?
La mayoría de los planes de seguro dental cubren una parte del costo de los empastes de resina, especialmente si son necesarios por razones médicas (como una caries). Sin embargo, la cobertura puede variar. Algunos planes pueden cubrir un porcentaje más alto para los empastes de amalgama y un porcentaje menor para los de resina, considerándolos parcialmente estéticos. Es fundamental contactar a su compañía de seguros para entender los detalles específicos de su póliza y el porcentaje de cobertura para los empastes compuestos.
¿Es doloroso el procedimiento de una resina dental?
Generalmente, el procedimiento para colocar una resina dental no es doloroso, ya que el dentista suele aplicar anestesia local para adormecer el área. Puede sentir una leve presión o vibración, pero no dolor agudo. Después del procedimiento, es normal experimentar una sensibilidad leve a moderada, especialmente a temperaturas frías o calientes, que suele desaparecer en unos pocos días o semanas.
¿Qué alternativas existen a la resina dental?
Además de la resina, las alternativas para rellenar caries o restaurar dientes incluyen empastes de amalgama, empastes de oro y empastes de porcelana (incrustaciones/onlays). Para daños más extensos, las coronas dentales pueden ser una opción, o incluso tratamientos más complejos como implantes dentales en caso de pérdida total del diente.
¿Cómo puedo saber si necesito una resina dental?
Solo un dentista puede determinar si necesita una resina dental. Los signos comunes que pueden indicar la necesidad de un empaste incluyen dolor al masticar, sensibilidad a temperaturas extremas, un orificio visible en el diente, o manchas oscuras. Sin embargo, muchas caries no causan síntomas en sus etapas iniciales, por lo que las revisiones dentales regulares y las radiografías son esenciales para una detección temprana.
¿Qué cuidados debo tener después de un empaste de resina?
Después de un empaste de resina, evite comer o beber hasta que la anestesia haya desaparecido para evitar morderse la lengua o el labio. Es recomendable evitar alimentos muy duros o pegajosos durante las primeras 24 horas. Mantenga una excelente higiene bucal con cepillado y uso de hilo dental regular, y asista a sus citas de revisión dental para asegurar la longevidad de su empaste.
En resumen, la resina dental ofrece una solución estética y funcional para restaurar la sonrisa, con un rango de costo que la hace accesible para muchos. La inversión en un empaste de calidad es una inversión en su salud bucal a largo plazo. Al comprender los diferentes materiales, los factores que influyen en el precio y cómo prolongar la durabilidad de su empaste, podrá tomar decisiones informadas y mantener su sonrisa radiante por muchos años.
Si quieres conocer otros artículos parecidos a Resina Dental: Costos, Tipos y Durabilidad en EE. UU. puedes visitar la categoría Gastronomía.
